The Future of Hearing is Neural
800 million people struggle to hear in noisy environments. The Lancet Commission identified this as the #1 modifiable risk factor for cognitive decline including depression, dementia, and Alzheimer's. We're developing the first-in-class therapy that reverses the neurological root cause of this hearing deficit.
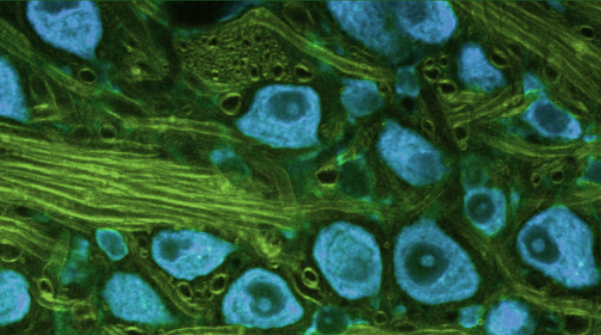
Join Our Mission Learn About Our ScienceAfter 30 years of dedicated research, we've discovered that age-related hearing-in-noise problems are caused by localized demyelination of a specific brain circuit. Our proprietary Localized Oligodendrocyte Optimization Therapy (LOOT) is the first treatment in clinical trials attempting to address this neurological root cause.
Unlike hearing aids that amplify all sounds (including unwanted noise), in animal studies our neuroscience-based approach specifically targets and reverses the brain changes responsible for "Cocktail Party Syndrome" - the inability to focus on speech in noisy environments.
We're spinning out of the University of Colorado with groundbreaking preclinical data showing ~90% reversal of this age-related condition.
Tap any stat below to learn more
Tap any profile to view LinkedIn
Tap to learn more
Tap any item below for more details
Causally demonstrated the demyelination hypothesis in animal models, providing definitive proof of our therapeutic target. Manuscript currently under review.
Completed preclinical studies demonstrating ~90% reversal of age-related Cocktail Party Syndrome using our proprietary LOOT therapy.
Independent scientific review with 3rd and 8th percentile scores on two separate R01 grants based on our preclinical data.
Filed comprehensive patent for our first-in-class combination therapy approach (link coming soon).
IRB approval secured for Phase II study with IND submission to FDA scheduled for Fall 2025 (link coming soon).
SPARK Award recipient from CU Innovations and OEDIT for business development excellence.
Built on decades of research at University of Colorado with established laboratory and research infrastructure.
Accepted into Innosphere Accelerator program with ongoing business mentorship and support.
Official company launch in 2025 with experienced team and strong advisor network.
Be among the first to participate in our groundbreaking Phase II clinical trial.
We will reach out after recruitment begins
Share your experience with hearing-in-noise challenges and express interest in our treatment.
Take SurveyJoin us in revolutionizing hearing healthcare and addressing a massive unmet medical need.
Parley with us at:
invest@parley-neuro.com